Zurück in der dicken Luft auf Meereshöhe

Die Ausbeute der Höhenkrankheitsstudie in den Walliser Alpen ist groß: Fast 1500 Probengefäße mit dem Blut der Probanden, die bei minus 80 Grad Celsius im Trockeneis gefroren von der Regina Margherita-Hütte aus 4554 Metern Höhe zurück ins DLR-Institut für Luft- und Raumfahrtmedizin nach Köln transportiert wurden. Dazu kommen knapp 200 Urinproben, 44 Speichelproben und 66 Blutbilder. Die Probanden selbst steuern noch elf sorgfältig geführte "Tagebücher" bei, in denen sie festhielten, wie stark sich die Symptome der Höhenkrankheit bei ihnen auswirkten. Und auch 22 Messwerte für den Blutdruck der Studienteilnehmer und 22 Messwerte für ihre Sauerstoffsättigung im Blut gehören zur Datensammlung, die für den Studienarzt Ulrich Limper vor allem eines bedeuten: eine detaillierte Auswertung, die mehr als ein halbes Jahr dauern wird.
Abschied von der Bergstation
Am Montag, 22. August, hatten die Probanden ein letztes Mal ihr morgendliches Ritual durchgeführt: Aufwachen, noch im Liegen Blutdruck und Sauerstoffsättigung messen und anschließend auf die Waage. Ein letztes Mal hatte der ärztliche Leiter der Studie Blutproben genommen. Um 7 Uhr macht sich dann die erste Gruppe mit dem Bergführer über den Gletscher auf den Weg zur Seilbahnstation Punta Indren, um nach 1600 Höhenmetern von dort aus mit der Gondel ins Tal zu fahren. Die zweite Gruppe packt in dieser Zeit die Ausrüstung auf der Margherita-Hütte ein. Ultraschallgerät, kistenweise Proben im Trockeneis, Gepäck, 600 Kilogramm müssen wieder für den Rücktransport per Hubschrauber vorbereitet werden.
Auch zwei Probanden dürfen um 9 Uhr im "Luft-Taxi" einsteigen. Die Seilbahn macht um 12 Uhr Mittagspause - und unter diesem Zeitdruck hätten die beiden den Abstieg zur Station vielleicht nicht geschafft. Noch in den Tagen zuvor hatte es in den Walliser Alpen gleich mehrere schwere Bergsteiger-Unfälle gegeben. "Bei den beiden Probanden war die Leistungsfähigkeit etwas vermindert, da gehen wir überhaupt kein Risiko ein."
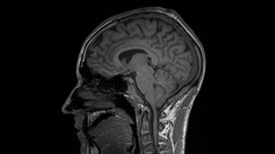
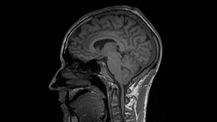
Hirne im Querschnitt
Schließlich ist der Tag für die Probanden mit dem Abstieg noch nicht beendet. Per Auto geht es für das erste MRT zur Bundeswehr in Fürstenfeldbruck. Um 19.30 Uhr wird das erste Probanden-Hirn im MRT 35 Minuten lang aufgenommen, um 3 Uhr nachts liegt mit dem Studienarzt der letzte im MRT, bevor in der Kaserne die erste kurze Nacht auf Meereshöhe beginnt.

Statt Höhenluft auf dem Berg in über 4500 Metern Höhe ist jetzt nun wieder die dicke Luft und das warme Klima Kölns auf gerade einmal 53 Metern über dem Meeresspiegel angesagt. Kalt bleibt es für einige des Teams dennoch: Bei minus 20 Grad Celsius werden in der Kühlkammer geduldig hunderte von Probengefäßen sortiert und für die Weiterverarbeitung vorbereitet.
Wassereinlagerungen nach Wunsch
Auch wenn erst die detaillierte Auswertung aller gesammelten Daten und Proben die Antwort darauf geben könnte, ob die Höhenkrankheit tatsächlich die Gefäßwände für Flüssigkeit und Eiweiß-Molekule durchlässig macht - schon der erste Blick auf die MRT-Aufnahmen und in die Studien-Tagebücher der Probanden ist vielversprechend. "Auf den Hirn-Aufnahmen zeigen sich bei zwei Probanden kleinere Ödeme, also Wassereinlagerungen - nicht gefährlich, weil sie so gering sind, dass sie nicht den gefährlichen erhöhten Hirndruck auslösen, aber deutlich sichtbar", sagt Studienarzt Ulrich Limper. Und bei den Tagebüchern zeigt sich ebenfalls eine Tendenz: Morgens waren die Symptome der Höhenkrankheit für die Probanden deutlich spürbarer - und dies passt wiederum zu der niedrigeren Sauerstoffsättigung im Blut am Morgen. Am Abend hingegen ging es vielen der Studienteilnehmer besser.

Vor und nach der Höhenkrankheit
Am 5. September werden die Probanden allerdings noch einmal zur Blutabnahme gebeten. Nachdem ihr Körper wieder mehrere Tage lang "aufatmen" konnte, soll die Nachher-Werte zum Vergleich festgestellt werden. Mitte Dezember werden dann alle Probanden erneut im MRT untersucht - "wir wollen wissen, ob sich die Ödeme komplett zurückgebildet haben."
Schon jetzt aber spüren die Probanden, wie ungewöhnlich ihre gewohnte Umgebung sein kann: Die Luftfeuchtigkeit ist höher, die Luft irgendwie dichter als auf dem Berg - und auch das Geruchsempfinden wird wieder feiner.
Tags: