Back in saturated air at sea level

The altitude sickness study conducted in the Valais Alps has delivered a sizeable yield: almost 1500 vials containing blood samples from the test subjects, frozen in dry ice at minus 80 degrees Celsius, were transported from the Margherita Hut at an altitude of 4554 metres back down to the DLR Institute of Aerospace Medicine in Cologne. There are also just under 200 urine samples, 44 saliva samples and 66 blood counts. The test subjects themselves are also contributing 11 carefully kept 'journals', in which they noted the extent to which they felt symptoms of altitude sickness. Twenty-two measurements of the test subjects' blood pressure and another 22 revealing oxygen saturation levels in their blood are also included in the dataset. For investigator Ulrich Limper this means a detailed evaluation that will take over six months to complete.
Departure from the top station
The test subjects completed their morning ritual for the last time on Monday, 22 August: upon waking, they measured their blood pressure in a supine position and then hopped onto the scales. The investigator in the study drew blood one final time. And then, at 07:00, the first group set off across the glacier accompanied by a mountain guide, and headed for the cable car station in Punta Indren to travel from the vantage point at 1600 metres to the base of the valley. Meanwhile, the second group was busy packing the equipment left at the Margherita Hut: the ultrasound device, crates of samples tucked away in dry ice and luggage. Altogether, 600 kilograms had to be prepared for return transport by helicopter.
Two test subjects were also allowed to board the 'air taxi' at 09:00. The cable car takes a lunch break at 12 p.m., and the participants might not have managed the descent on such a tight schedule. The Valais Alps had seen a number of severe mountaineering accidents in the preceding days. "The test subjects were not entirely on top of their game, and we certainly did not want to take any risks."
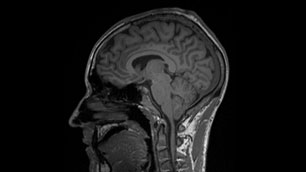
Brain cross section

The day was not yet over for the test subjects, even after the descent. They travelled by car for their first MRI at the German military base in Fürstenfeldbruck. The first test subject’s brain was scanned for 35 minutes at 19:30. The investigator was last into the tube, and his MRI was finally completed at 03:00. Only then could the first short night at sea level begin.
Now, the high altitude, mountainous environment at 4500 metres has been substituted for the saturated air in the warm climate of Cologne just 53 metres above sea level. But the days will remain cold for some team members: hundreds of specimen vials will be sorted into the cold chamber at minus 20 degrees Celsius and prepared for further examinations.
Fluid retention, precisely as the investigators had hoped
Even if a precise answer as to whether altitude sickness does indeed make the vascular walls permeable for fluids and protein molecules will not be available until after a detailed analysis of all collected data and samples, an initial glance at the MRI images and the study journals kept by the test subjects already appears promising. "The brain scans show smaller oedema in two participants. They are too small to cause the risky increase in cranial pressure, and hence are not dangerous. But they are clearly visible," says Limper. A trend is also apparent in the journals: test subjects noticed far more severe symptoms of altitude sickness in the morning – which is indicative of lower oxygen saturation levels in the blood during the early hours of the day. In contrast, many of the test subjects felt better in the evening.

Before and after altitude sickness
The test subjects will be asked to give blood once more on 5 September. The 'afterwards' values, collected after their bodies have been allowed to 'breathe' for several days, will be used for comparison. The participants will complete another MRI examination in the middle of December: "We want to find out whether the oedema have disappeared completely."
But even now, the test subjects are noticing how unusual their familiar environment can be: humidity is higher, and the air feels somehow denser than on the mountain. Even their sense of smell is returning to its usual sensitivity.
Tags: